Tài liệu y khoa
sức khỏe tâm thầnPTSDRối loạn stress sau chấn thươngTrị liệu tâm lýPhục hồi sau chấn thương
Rối loạn Stress sau Chấn thương: Khi Nỗi Đau Quá Khứ Trở Lại Ám Ảnh Hiện Tại
PTSD: Khi Nỗi Đau Quá Khứ Trở Lại Ám Ảnh Hiện Tại
Cuộc sống đôi khi mang đến những thử thách nghiệt ngã, những sự kiện ...
Xem chi tiết →
ung thưbệnh tim mạchđộc tính timkiểm tra sức khỏe tim mạchTim mạch ung thư
Bệnh Tim Mạch và Ung Thư: Bảo Vệ Trái Tim Trong Điều Trị
Mục lục
Mở đầu
Độc Tính Tim Là Gì?
Sự Kết Nối Quan Trọng Giữa Ung Thư và Tim Mạch
Xây Dựng Kế Hoạch Chăm Sóc Tốt Hơn
Bả...
Xem chi tiết →
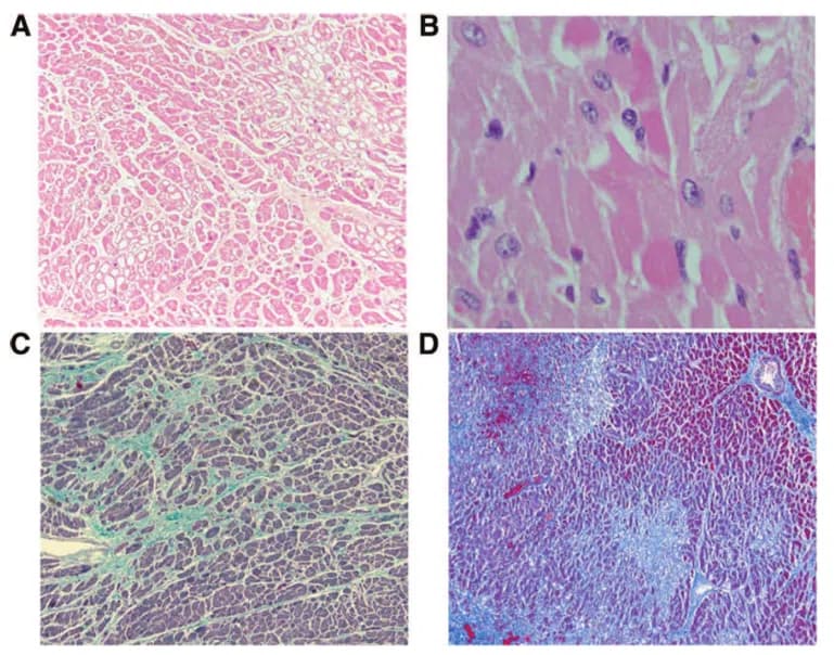
suy timdoxorubicinđộc tính hóa trịđộc tính cơ timcardiotoxicity
Nguy cơ làm suy tim khi hóa trị ung thư bằng thuốc doxorubicin như thế nào?
1. Tính chất dược lý
Doxorubicin tác động bằng nhiều cơ chế khác nhau như tương tác với sắt, làm thay đổi cân bằng n...
Xem chi tiết →
Điều trị thuyên tắc huyết khối tĩnh mạch trên bệnh nhân ung thư
Thuyên tắc huyết khối tĩnh mạch làm tăng tỷ lệ tử vong lên 3 lần so với BN ung thư không Thuyên tắc huyết khối tĩnh mạch...
Xem chi tiết →