
1. Tính chất dược lý
Doxorubicin tác động bằng nhiều cơ chế khác nhau như tương tác với sắt, làm thay đổi cân bằng nội môi canxi, thay đổi hoạt động của các enzym oxy hóa nội bào hoặc của ty lạp thể, và gắn với men topoisomerases làm rối loạn chức năng điều hòa ADN.
2. Vai trò của doxorubicin trong điều trị ung thư vú
Cho tới nay các thuốc thuộc nhóm anthracycline vẫn là một trong những thuốc cơ bản và hiệu quả trong điều trị UTV, tỷ lệ đáp ứng tốt với khối u cao hơn các phác đồ không chứa doxorubicin [16]. Tuy nhiên, việc tích luỹ liều qua các đợt điều trị làm tăng nguy cơ độc tính trên tim, vượt qua liều giới hạn thì nguy cơ độc tính tim rất cao (liều giới hạn của doxorubicin là 550 mg/m² da) [16], [21]; ngoài ra thuốc còn gây ra một số độc tính khác như: ức chế tuỷ xương, nôn, rụng tóc...
Ngày nay, nhờ sự tiến bộ của khoa học, các nhà khoa học đã nghiên cứu sản xuất ra nhiều thuốc mới đem lại hiệu quả điều trị và đảm bảo tính an toàn trong điều trị. Trong đó, phải kể tới Pegylated Liposomal Doxorubicin (PLD) là chế phẩm của doxorubicin. Hiệu quả của PLD được ghi nhận khi dùng đơn chất hoặc phối hợp với thuốc khác như: cyclophosphamide, docetaxel, gemcitabine…cho tỷ lệ đáp ứng từ 35-75%. Ngày càng có nhiều bằng chứng sử dụng PLD trong điều trị bước một UTV tái phát di căn, khả năng kháng u của thuốc có tác dụng ở cả 2 nhóm chưa điều trị anthracycline và đã điều trị anthracycline trước đó.
3. Độc tính của doxorubicin trong điều trị ung thư vú
Phác đồ hóa trị có nhóm anthracycline hiện vẫn là chỉ định đầu tiên trong hóa trị trước mổ và bổ trợ ở bệnh nhân UTV [22], tuy nhiên vẫn còn những e ngại khi sử dụng do độc tính trên tim mạch của anthracycline . Những tác dụng không mong muốn này được mô tả vào những năm 1970 [23], người ta nghi ngờ sự tích lũy các thuốc nhóm anthracycline có thể gây suy tim sung huyết và tiến triển nặng hơn nếu không ngừng thuốc. Ngày nay đã có nhiều nghiên cứu cho thấy tỷ lệ suy tim sung huyết do doxorubicin gây ra phụ thuộc vào liều tích lũy: 1,6% với liều tích lũy 300mg/m2, 3%-5% với liều tích lũy 400 mg/m2, 7% - 26% với liều 550mg/m2, 18% - 48% tại liều tích lũy 700 mg/m2 [2], [3], [7]. Tuy nhiên, có khác biệt đáng kể giữa các bệnh nhân nhạy cảm với anthracycline . Nhiều bệnh nhân có thể sử dụng anthracycline liều chuẩn mà không có biến chứng lâu dài trên tim. Ngược lại, có những bệnh nhân đã có những biến chứng xảy ra sớm sau liều đầu tiên. Và suy tim do tổn thương trên tim gây ra bởi anthracycline có thể không thể đảo ngược.
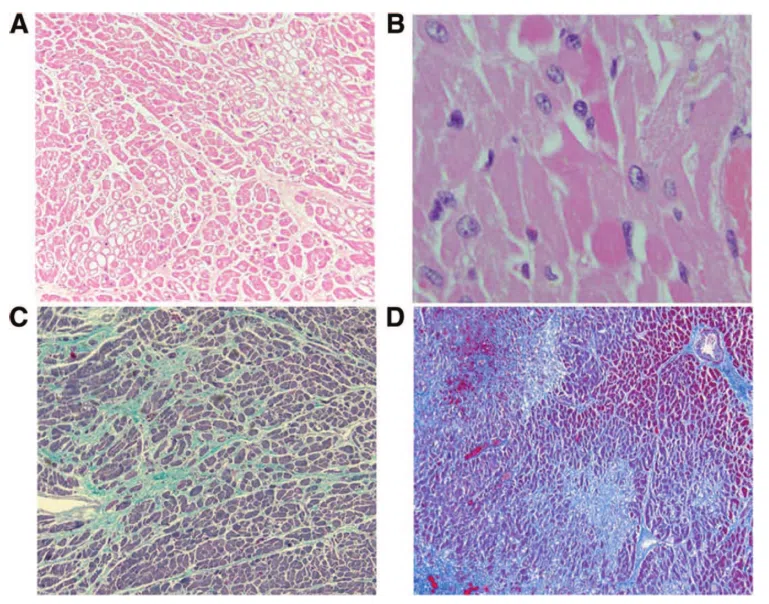
Tổn thương vi thể: Theo Cascales và cộng sự, khi phân tích mẫu sinh thiết cơ tim bệnh nhân sử dụng nhóm anthracycline và nhóm chứng thì thấy có hiện tượng xơ hóa lan tỏa, xơ hóa từng mảng, hoại tử mảng, hoại tử cơ tim khác biệt có ý nghĩa thống kê so với nhóm chứng [24] (Hình 1.2)
Giả thuyết “tăng oxy hóa”
Có nhiều giả thuyết về cơ chế độc tính trên tim của anthracycline . Giả thuyết được ủng hộ nhiều nhất là sự tăng sản xuất các gốc tự do và stress oxy hóa, dẫn đến tổn thương không thể đảo ngược đối với tế bào cơ và xơ hóa mô. Các giả thuyết khác bao gồm tổn thương tế bào: (1) anthracycline ức chế đồng phân beta của topoisomerase-II (Top2), (2) quá tải canxi nội bào, (3) rối loạn chức năng adrenergic, (4) giải phóng các chất chuyển hóa anthracycline, (5) các amin hoạt hóa mạch, và / hoặc (6) giải phóng các cytokine tiền viêm [25].

Ghi chú: Nhuộm hematoxylin & eosin. (A): Hiện tượng không bào và hoại tử cơ tim. (B): Hoại tử mảng xâm lấn vào vùng đệm cơ tim. (C): Xơ hóa lớp trung mô. (D): Xơ hóa cơ tim dạng mảng. * Nguồn: Cascales A. (2013) [24]
4. Đặc điểm độc tính của nhóm anthracycline :
Độc tính của doxorubicin thuộc type I của rối loạn chức năng tim do hóa trị (CRCD: chemotherapy related cardiac dysfunction). Đặc điểm chính của nhóm này là tổn thương cơ tim không hồi phục [4], thường liên quan đến liều tích lũy của nhóm thuốc anthracycline [5], [6].
|
|
Type I (tổn thương cơ tim) |
Type II (rối loạn chức năng cơ tim) |
|
Tác nhân |
Nhóm anthracycline (doxorubicin, daunorubicin, epirubicin, adarubicin, valrubicin) |
Thuốc nhắm đích HER2 (trastuzumab) |
|
Lâm sàng |
Tổn thương không hồi phục |
Tổn thương có thể hồi phục gần hoàn toàn sau 2-4 tháng |
|
Liều điều trị |
Liên quan đến liều tích lũy |
Không liên quan đến liều |
|
Cơ chế |
Gốc tự do; hiện tượng tăng oxy hóa tế bào cơ tim |
Ức chế tín hiệu ErbB2; mất sự co rút cơ, đông cứng, cơ tim ngủ đông |
|
Thay đổi vi cấu trúc |
Không bào; mất cấu trúc, hoạt tử |
Không thay đổi cấu trúc cơ tim |
|
Giảm LVEF, giảm vận động vùng |
|
|
|
Tiến triển |
Rối loạn chức năng tiến triển, tái phát cao, dẫn đến suy tim và tử vong |
Khả năng ít tái phát, nhưng còn nghiên cứu thêm |
|
YTNC |
Truyền TM liều cao, thời gian truyền <30 phút, xạ trị trước đó, có dùng anthracycline trước đó, giới nữ, già hoặc trẻ, bệnh tim mạch |
Tuổi >50, bệnh tim mạch, có dùng anthracycline trước đó. |
* Nguồn: Srikanthan và cộng sự (2017) [6]
Anthracycline gây độc trên tim chia làm 3 thể: cấp tính, sớm hay muộn. Độc tính cấp tính, chủ yếu là rối loạn nhịp trên thất trên điện tâm đồ, rối loạn chức năng thất trái thoáng qua, chỉ khoảng <1% bệnh nhân ngay sau khi truyền thuốc và thường hồi phục hoàn toàn. Tuy nhiên, rối loạn chức năng tim cấp cũng có thể biểu hiện tổn thương cơ tim, có thể sớm hoặc muộn cũng tổn thương thực thể cơ tim. Chưa có bằng chứng nào xác định các rối loạn chức năng tim có thể hồi phục hoặc tiến triển. Tuy nhiên, các dấu ấn sinh học tim như troponin, BNP có thể dùng để xác định nguy cơ tổn thương lâu dài trên cơ tim [7].
Độc tính sớm xảy ra trong năm đầu điều trị, trong khi độc tính muộn biểu hiện sau vài năm (trung bình 7 năm sau khi điều trị) [26], [27].
Phân loại giai đoạn (sớm và muộn) được dựa trên các nghiên cứu hồi cứu trong đó phân suất tống máu thất trái (LVEF) giảm được xác định hoặc sau khi xuất hiện suy tim sung huyết. Một nghiên cứu gần đây của Cardinale và cs [28] bao gồm 2.625 bệnh nhân (thời gian theo dõi trung bình 5,2 năm), cho thấy một tỷ lệ tổng thể 9% có biểu hiện trên tim sau khi điều trị anthracycline, và 98% các trường hợp xảy ra trong năm đầu tiên và không có triệu chứng. Biểu hiện trên tim của anthracycline gây ra thường đặc trưng bởi sự giảm dần liên tục phân suất tống máu thất trái. Giai đoạn sớm, bệnh nhân thường không có triệu chứng, nhưng có thể tiến triển biểu hiện lâm sàng sau nhiều năm, thường đi kèm với các yếu tố kích hoạt khác. Có thể nói rằng tác động của anthracycline có thể có bù trừ ở giai đoạn sớm [4].
Nếu rối loạn chức năng cơ tim do anthracycline được phát hiện sớm và điều trị bằng thuốc điều trị suy tim thì bệnh nhân sẽ được phục hồi chức năng tốt. Ngược lại, nếu bệnh nhân được phát hiện muộn sau khi đã có biểu hiện suy tim thì thường khó điều trị hơn [29]. YTNC trên tim liên quan đến anthracycline bao gồm: liều tích lũy, cấu tạo thuốc, tốc độ truyền, bệnh tim từ trước, THA, đồng thời sử dụng hóa trị liệu hoặc xạ trị trung thất và lớn tuổi (≥65 tuổi) (Bảng 1.6) [5], [6].
Trong các nghiên cứu tại Việt nam, Võ Đức Hiếu (2009) không ghi nhận trường hợp nào có độc tính trên tim [16]. Trong khi Nguyễn Thị Mai Lan (2012) không ghi nhận trường hợp nào có độc tính trên tim khi dùng chế xuất liposomal doxorubicin đơn thuần trên bệnh nhân UTV tái phát và/hoặc di căn tại bệnh viện K từ 2008-2010 [30]. Tác giả Ngô Thị Tính (2012) nhận thấy chế xuất liposomal doxorubicin giảm được biến chứng trên tim khi kết hợp với cyclophosphamide trong điều trị UTV di căn [31].
|
+ Liều tích lũy + Giới tính + Tuổi: - ≥65 tuổi - Trẻ em <18 tuổi + Suy thận + Đang hoặc đã có xạ trị vùng ngực |
+ Đang hóa trị kết hợp: - Nhóm alkyl hóa hoặc nhóm kháng nhân - Liệu pháp miễn dịch hay nhắm trúng đích + Bệnh kết hợp: - Bệnh lý tim liên quan đến sức căng thành tim - Tăng huyết áp - Bệnh về gen |
TÀI LIỆU THAM KHẢO
22. Giordano S. H., Elias A. D., and Gradishar W. J. (2018), "NCCN Guidelines Updates: Breast Cancer", J Natl Compr Canc Netw, 16(5S), pp. 605-610.
23. Rahman A. M., Yusuf S. W., and Ewer M. S. (2007), "Anthracycline-induced cardiotoxicity and the cardiac-sparing effect of liposomal formulation", Int J Nanomedicine, 2(4), pp. 567-83.
24. Cascales A., Pastor-Quirante F., Sanchez-Vega B., et al. (2013), "Association of anthracycline-related cardiac histological lesions with NADPH oxidase functional polymorphisms", Oncologist, 18(4), pp. 446-53.
25. Shee K., Kono A. T., D'Anna S. P., et al. (2016), "Maximizing the Benefit-Cost Ratio of Anthracyclines in Metastatic Breast Cancer: Case Report of a Patient with a Complete Response to High-Dose Doxorubicin", Case Rep Oncol, 9(3), pp. 840-846.
26. Von Hoff D. D., Layard M. W., Basa P., et al. (1979), "Risk factors for doxorubicin-induced congestive heart failure", Ann Intern Med, 91(5), pp. 710-7.
27. Steinherz L. J., Steinherz P. G., Tan C. T., et al. (1991), "Cardiac toxicity 4 to 20 years after completing anthracycline therapy", Jama, 266(12), pp. 1672-7.
28. Cardinale D., Colombo A., Bacchiani G., et al. (2015), "Early detection of anthracycline cardiotoxicity and improvement with heart failure therapy", Circulation, 131(22), pp. 1981-8.
29. Cardinale D., Colombo A., Lamantia G., et al. (2010), "Anthracycline-induced cardiomyopathy: clinical relevance and response to pharmacologic therapy", J Am Coll Cardiol, 55(3), pp. 213-20.
30. Nguyễn Thị Mai Lan and Nguyễn Đại Bình (2012), "Đánh giá hiệu quả điều trị và độc tính phác đồ Lipo-Dox đơn thuần trên bệnh nhân ung thư vú tái phát và hoặc di căn", Tạp chí Ung thư học Việt nam, 4, pp. 330-337.
31. Ngô Thị Tính (2012), "Đánh giá kết quả giảm độc tính trên tim và tác dụng chống ung thư của Lipo-Dox và Cyclophosphamide so với Doxorubicin thường và Cyclophosphamide trong ung thư vú di căn", Tạp chí Ung thư học Việt nam, 4, tr. 305-309.
Cập nhật lần cuối
31 tháng 3, 2025