Đau thắt ngực

bệnh tim mạchnguy cơ tim mạchTập thể dụcvận động thể lựclợi ích sức khỏe
Lợi Ích Vận Động và Tập Thể Dục Đối Với Sức Khỏe Tim Mạch
Mục lục
Vận động thể lực và tập thể dục: Sự khác biệt
Hiệu quả của tập luyện thể dục
Thay đổi tim mạch khi tập thể dục
...
Xem chi tiết →
siêu âm timđiện tâm đồnhồi máu cơ timđau ngựcThuyên tắc phổi
Các nguyên nhân gây đau ngực và các xét nghiệm có thể làm
Đau Ngực: Hiểu Rõ Nguyên Nhân và Cách Chẩn Đoán
Đau ngực là một triệu chứng phổ biến mà nhiều người có thể trải qua. Tuy...
Xem chi tiết →
tăng huyết áp cấp cứuđiều trị tăng huyết áp cấp cứuphòng ngừa tăng huyết áp cấp cứuthuốc điều trị tăng huyết áp cấp cứuhuyết áp cao cấp cứu
Nhận diện cơn tăng huyết áp cấp cứu
Tăng Huyết Áp Cấp Cứu: Nhận Biết, Xử Trí và Phòng Ngừa
Tăng huyết áp là một bệnh lý tim mạch phổ biến, đặc biệt ở người ...
Xem chi tiết →
bệnh tim mạchHội chứng chuyển hóaphòng ngừa bệnh timyếu tố nguy cơ bệnh timkiểm tra sức khỏe
Hội chứng chuyển hóa và bệnh tim mạch: Tổng quan và hướng dẫn phòng ngừa
Mục Lục
Tổng quan về bệnh tim mạch
Hội chứng chuyển hóa là gì?
Mối liên hệ giữa hội chứng chuyển hóa và bệnh tim mạ...
Xem chi tiết →
nhồi máu cơ timxơ vữa đông mạchĐau thắt ngực ổn địnhgắng sứccác yếu tố nguy cơ
Đau Thắt Ngực Ổn Định: Kiến Thức Cần Thiết và Hướng Dẫn Phòng Ngừa
Đau Thắt Ngực Ổn Định: Kiến Thức Cần Thiết và Hướng Dẫn Phòng Ngừa
1. Đau Thắt Ngực Ổn Định Là Gì?
Cơn đau thắt ngực ổn...
Xem chi tiết →
siêu âm Dopplerdị dạng tĩnh mạchphẫu thuật dị dạng tĩnh mạchđiều trị dị dạng tĩnh mạchtiêm xơ dị dạng tĩnh mạch
Các phương pháp điều trị dị dạng tĩnh mạch
Tuyệt vời! Dưới đây là bài viết chi tiết và đầy đủ về dị dạng tĩnh mạch, được viết lại theo phong cách thân thiện với ng...
Xem chi tiết →
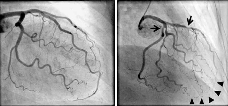
bệnh mạch vànhnhồi máu cơ timđặt stent động mạch vànhchụp động mạch vànhnong động mạch vành
Ưu điểm của kỹ thuật chụp, nong và đặt stent động mạch vành
Bệnh Mạch Vành: Giải Pháp Chụp, Nong và Đặt Stent Động Mạch Vành
Bệnh mạch vành (Coronary Artery Disease - CAD) đang là ...
Xem chi tiết →
bệnh tim mạchlối sống lành mạnhphòng ngừa bệnh timphục hồi chức năng tim mạchdinh dưỡng cho tim mạch
Phục hồi chức năng tim mạch: Hướng dẫn toàn diện cho sức khỏe trái tim
Nội dung chính
1. Chức năng của hệ thống tim mạch
Hệ thống tim mạch đảm nhiệm những chức năng thiết yếu cho cơ thể, bao...
Xem chi tiết →
bệnh tim mạchyếu tố nguy cơ tim mạchphòng ngừa bệnh tim mạchtính toán nguy cơ tim mạchđánh giá nguy cơ tim mạch
Làm sao ước tính được nguy cơ mắc bệnh tim mạch?
Đánh giá nguy cơ tim mạch: Hiểu rõ và phòng ngừa
Bệnh tim mạch là một trong những bệnh lý gây tử vong hàng đầu trên toàn...
Xem chi tiết →