Các kiểu siêu âm tim

siêu âm timsiêu âm tim dopplersiêu âm tim 2dsiêu âm tim m-mode
Các kiểu siêu âm tim

Siêu âm tim: Các kiểu siêu âm thường dùng

Siêu âm tim là một kỹ thuật chẩn đoán hình ảnh không xâm lấn, sử dụng sóng siêu âm để tạo ra hình ảnh về cấu trúc và chức năng của tim. Đây là một công cụ cơ bản và vô cùng giá trị trong việc chẩn đoán và theo dõi các bệnh lý tim mạch. Trong thực hành lâm sàng, có nhiều kiểu siêu âm tim khác nhau được sử dụng, mỗi kiểu có ưu điểm và ứng dụng riêng. Bài viết này sẽ giới thiệu các kiểu siêu âm tim thường dùng.

1. Siêu âm tim kiểu 2D (Siêu âm 2 bình diện)

Siêu âm tim 2D là kỹ thuật siêu âm tim cơ bản nhất. Hình ảnh siêu âm tim 2D được tạo ra khi chùm tia siêu âm đi qua một mặt cắt của tim, cho phép đánh giá một loạt các thông tin quan trọng, bao gồm:

  • Vị trí và tư thế của tim: Giúp xác định xem tim có nằm đúng vị trí hay không, có bị xoay lệch hoặc bất thường gì không.
  • Kích thước của các buồng tim: Đo đạc kích thước của các buồng tim (nhĩ trái, nhĩ phải, thất trái, thất phải) để phát hiện tình trạng giãn hoặc phì đại.
  • Độ dày và vận động của các thành tim: Đánh giá độ dày của thành tim và khả năng co bóp của cơ tim, giúp phát hiện các bệnh lý như phì đại thất trái, bệnh cơ tim.
  • Chức năng co bóp và giãn của cơ tim: Đánh giá khả năng bơm máu của tim (chức năng tâm thu) và khả năng giãn ra để nhận máu (chức năng tâm trương).
  • Các gốc mạch lớn: Quan sát các mạch máu lớn như động mạch chủ, động mạch phổi để phát hiện các bất thường như hẹp, phình mạch.
  • Hình thái và vận động của các van tim: Đánh giá hình dạng và khả năng đóng mở của các van tim (van hai lá, van ba lá, van động mạch chủ, van động mạch phổi), giúp phát hiện các bệnh lý như hẹp van, hở van.
  • Các lỗ khuyết của các vách ngăn trong tim: Tìm kiếm các lỗ thông bất thường giữa các buồng tim (thông liên nhĩ, thông liên thất).
  • U hoặc huyết khối trong tim: Phát hiện các khối u hoặc cục máu đông trong tim.
  • Dịch màng ngoài tim: Đánh giá lượng dịch tích tụ xung quanh tim.

Các mặt cắt thường được sử dụng trong siêu âm tim 2D:

  • Mặt cắt trục dọc cạnh ức trái: Cung cấp hình ảnh tổng quan về tim và các mạch máu lớn.
  • Mặt cắt trục ngang cạnh ức trái: Cho phép quan sát các buồng tim và van tim.
  • Mặt cắt từ mỏm tim: Thường được sử dụng để đánh giá chức năng thất trái và các van tim.
  • Mặt cắt trên hõm ức: Quan sát động mạch chủ và tĩnh mạch chủ trên.
  • Mặt cắt dưới bờ sườn: Thường được sử dụng ở trẻ em hoặc người lớn có lồng ngực hẹp.

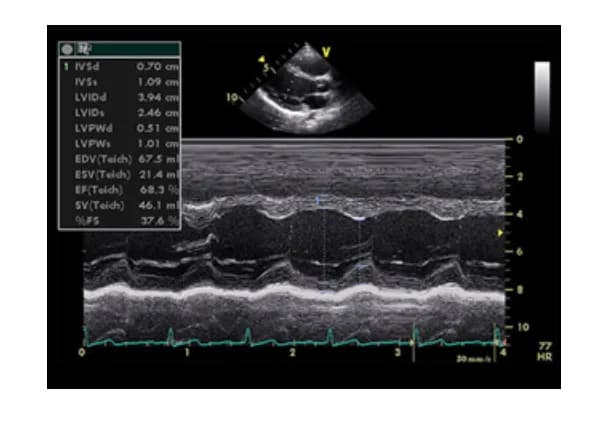
2. Siêu âm tim kiểu TM (M-mode)

Siêu âm tim kiểu TM (Time-Motion) là một kỹ thuật siêu âm tim одномерное, hiển thị hình ảnh chuyển động của các cấu trúc tim theo thời gian. Vì tim và các van tim vận động liên tục theo chu kỳ tâm thu và tâm trương, việc quét chùm tia siêu âm qua một thành phần giải phẫu của tim theo một vận tốc nhất định sẽ tạo ra hình ảnh dạng sóng, phản ánh sự thay đổi vị trí của cấu trúc đó theo thời gian.

Ưu điểm của siêu âm tim TM:

  • Độ chính xác cao: Do định vị được các thời điểm trong chu chuyển tim (tâm thu, cuối tâm thu, tâm trương, cuối tâm trương), siêu âm TM cho phép đo đạc các kích thước và chức năng co bóp của tim một cách chính xác.

Các lát cắt chủ yếu trong siêu âm tim TM:

  • Lát cắt trục dọc cạnh ức trái: Dựa trên hình ảnh 2D, di chuyển thanh định hướng (cursor) tới vị trí cần khảo sát để thu được hình ảnh tim mạch.
  • Lát cắt trục ngang cạnh ức trái: Tương tự như lát cắt trục dọc, nhưng quan sát theo hướng khác.

Ứng dụng của siêu âm tim TM:

  • Đo đường kính thất trái cuối tâm trương (LVIDd) và cuối tâm thu (LVIDs): Từ đó tính toán chức năng tâm thu thất trái (EF - Ejection Fraction).
  • Đo kích thước thất phải.
  • Đo độ dày của thành thất trái ở tâm trương (IVSd và LVPWd) và tâm thu (IVSs và LVPWs).

3. Siêu âm tim 3D, 4D

Siêu âm tim 3D và 4D là những tiến bộ vượt bậc trong lĩnh vực siêu âm tim, mang lại hình ảnh chi tiết và trực quan hơn về cấu trúc tim.

  • Siêu âm tim 3D: Khác với siêu âm 2D (hình ảnh thu được theo không gian 2 chiều trên một mặt phẳng), siêu âm 3D sử dụng đầu dò có các tinh thể áp điện theo ma trận để thu hình ảnh theo không gian 3 chiều (hình khối). Điều này cho phép quan sát tim từ nhiều góc độ khác nhau và đánh giá chính xác hơn về kích thước và hình dạng của các cấu trúc tim.
  • Siêu âm tim 4D: Là siêu âm 3D kết hợp với chiều thời gian (chuyển động). Điều này cho phép quan sát tim hoạt động trong thời gian thực, giúp đánh giá chức năng tim một cách toàn diện.

Ưu điểm của siêu âm tim 3D, 4D:

  • Hình ảnh sinh động, toàn diện, dễ hình dung hơn siêu âm 2D: Giúp bác sĩ và bệnh nhân dễ dàng hình dung về cấu trúc và hoạt động của tim.

Ứng dụng quan trọng của siêu âm tim 4D:

  • Các bệnh lý van động mạch chủ: Đánh giá chính xác mức độ hẹp hoặc hở van động mạch chủ.
  • Các bệnh lý van hai lá: Đặc biệt quan trọng trong kỹ thuật mitraclip (kẹp van hai lá bị hở mà không cần phẫu thuật), giúp lựa chọn bệnh nhân phù hợp và hướng dẫn thủ thuật.
  • Thông liên nhĩ: Đánh giá kích thước và vị trí của lỗ thông liên nhĩ.
  • Đánh giá thất trái: Đánh giá chức năng và hình dạng của thất trái một cách chi tiết.

4. Siêu âm Doppler tim

Siêu âm Doppler tim là một kỹ thuật sử dụng hiệu ứng Doppler để đánh giá vận tốc và hướng của dòng máu trong tim. Khi chùm tia siêu âm gặp một vật thể chuyển động (ví dụ: tế bào máu), tần số của sóng siêu âm phản xạ sẽ thay đổi. Sự thay đổi tần số này (hiệu ứng Doppler) tỷ lệ với vận tốc của vật thể chuyển động.

Nguyên lý hoạt động:

  • Hiệu ứng Doppler: Đại lượng phản ánh vận tốc của vật thể chuyển động được thu nhận, xử lý và biểu hiện qua dạng âm thanh, dạng sóng hoặc mã hóa thành màu.

Thông tin cung cấp:

  • Vận tốc dòng máu qua van tim: Giúp đánh giá mức độ hẹp hoặc hở van tim. Dòng máu đi qua chỗ hẹp sẽ có vận tốc lớn, tạo ra tín hiệu âm thanh lớn và âm sắc cao, tín hiệu dạng sóng có biên độ lớn.
  • Phát hiện dòng máu bất thường trong tim: Ví dụ, dòng máu chảy qua lỗ thông liên thất.
  • Đánh giá tình trạng vận động của cơ tim:

Các dạng siêu âm Doppler tim:

  • Doppler liên tục: Sử dụng để đo vận tốc dòng máu cao, ví dụ như trong trường hợp hẹp van tim nặng.
  • Doppler màu: Mã hóa dòng máu theo màu sắc để hiển thị hướng và vận tốc của dòng máu. Dòng máu chảy về phía đầu dò được mã hóa màu đỏ, dòng máu chảy ra xa đầu dò được mã hóa màu xanh. Điều này giúp phát hiện các dòng máu bất thường trong tim.
  • Doppler đánh dấu mô (speckle tracking): Một kỹ thuật tiên tiến hơn, cho phép đánh giá sức căng của cơ tim và tình trạng tưới máu cơ tim. Kỹ thuật này đặc biệt hữu ích trong việc đánh giá bệnh cơ tim và bệnh mạch vành.

Siêu âm Doppler tim là một công cụ vô cùng hữu hiệu trong việc đánh giá huyết động qua các van tim, phát hiện các dòng máu bất thường trong tim và đánh giá tình trạng vận động của cơ tim. Theo Hiệp hội Tim mạch Hoa Kỳ (AHA), siêu âm tim Doppler là một phần không thể thiếu trong chẩn đoán và điều trị các bệnh tim mạch.

📅

Cập nhật lần cuối

31 tháng 3, 2025

Đặt lịch khám ngay