
Kênh Nhĩ Thất Toàn Phần: Tổng Quan Dành Cho Bệnh Nhân
Kênh nhĩ thất toàn phần, còn được gọi là thông sàn nhĩ thất, là một dị tật tim bẩm sinh tương đối hiếm gặp, chiếm khoảng 2% trong số các bệnh tim bẩm sinh. Điều đáng chú ý là bệnh này có mối liên hệ chặt chẽ với hội chứng Down, với khoảng 30% trẻ mắc kênh nhĩ thất toàn phần đồng thời mắc hội chứng Down. Ở trẻ em mắc hội chứng Down, khoảng 40% có các vấn đề về tim, và trong số này, kênh nhĩ thất toàn phần chiếm đến 30% các trường hợp.
1. Giải Phẫu Kênh Nhĩ Thất Toàn Phần
- Định nghĩa: Kênh nhĩ thất toàn phần là một phức hợp dị tật bao gồm nhiều cấu trúc bất thường trong tim. Cụ thể, nó bao gồm:
- Thông liên nhĩ lỗ thứ nhất: Một lỗ thông bất thường giữa hai tâm nhĩ.
- Thông liên thất phần nhận: Một lỗ thông bất thường giữa hai tâm thất.
- Chẻ lá trước van hai lá: Lá van trước của van hai lá bị tách đôi.
- Chẻ lá vách van ba lá: Lá vách của van ba lá bị tách đôi.
- Van nhĩ thất chung: Sự kết hợp của các bất thường trên tạo thành một van nhĩ thất chung duy nhất, thay vì hai van riêng biệt (van hai lá và van ba lá).
- Kênh nhĩ thất bán phần: Trong một số trường hợp, trẻ chỉ có thông liên nhĩ lỗ thứ nhất mà không có thông liên thất. Tình trạng này được gọi là kênh nhĩ thất bán phần, hoặc thông liên nhĩ lỗ thứ nhất.
2. Triệu Chứng Kênh Nhĩ Thất Toàn Phần
- Triệu chứng lâm sàng: Các triệu chứng của kênh nhĩ thất toàn phần có thể khác nhau tùy thuộc vào mức độ nghiêm trọng của dị tật. Tuy nhiên, một số triệu chứng phổ biến bao gồm:
- Biếng bú, chậm tăng cân: Trẻ có thể gặp khó khăn trong việc bú mẹ hoặc bú bình, dẫn đến chậm tăng cân hoặc không tăng cân.
- Suy tim: Suy tim là một biến chứng thường gặp, thường bắt đầu từ 1 đến 6 tháng tuổi. Các dấu hiệu của suy tim có thể bao gồm khó thở, thở nhanh, ho, phù nề và mệt mỏi.
- Tăng áp phổi: Nếu không được điều trị, kênh nhĩ thất toàn phần có thể dẫn đến tăng áp phổi, một tình trạng trong đó áp lực trong các mạch máu phổi tăng cao. Tăng áp phổi thường xuất hiện sau 6 tháng tuổi.
- Tiến triển tự nhiên: Nếu không được phẫu thuật, kênh nhĩ thất toàn phần có thể gây ra những hậu quả nghiêm trọng. Đa số trẻ sẽ tử vong trong khoảng 2-3 tuổi. Những trẻ sống sót có thể phát triển bệnh mạch máu phổi tắc nghẽn, một tình trạng không thể chữa khỏi và dẫn đến tử vong khi lớn.
- Triệu chứng cận lâm sàng: Các xét nghiệm cận lâm sàng có thể giúp chẩn đoán và đánh giá mức độ nghiêm trọng của kênh nhĩ thất toàn phần. Một số xét nghiệm thường được sử dụng bao gồm:
- X-quang tim phổi: Hình ảnh X-quang có thể cho thấy bóng tim to (do các buồng tim giãn) và tăng tuần hoàn phổi.
- Điện tâm đồ (ECG): ECG có thể cho thấy các dấu hiệu của phì đại thất (tăng kích thước của tâm thất), block nhánh (rối loạn dẫn truyền điện trong tim) và bloc nhĩ thất độ 1 (chậm dẫn truyền tín hiệu giữa tâm nhĩ và tâm thất).
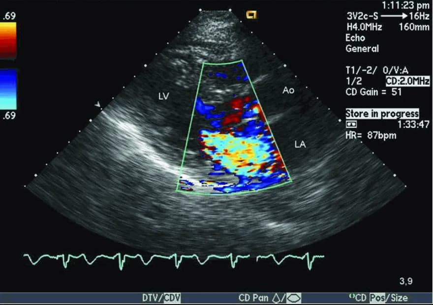
- Siêu âm tim: Siêu âm tim là một xét nghiệm quan trọng để chẩn đoán kênh nhĩ thất toàn phần. Nó có thể cho thấy các bất thường về cấu trúc của tim, bao gồm khuyết gối nội mạc (một dấu hiệu đặc trưng của kênh nhĩ thất), thông liên nhĩ và/hoặc thông liên thất, hở van hai lá và/hoặc van ba lá (do chẻ lá van hoặc thiếu mô van), tăng áp phổi (nếu có), giãn các buồng tim và giảm chức năng co bóp của cơ tim.
3. Điều Trị Kênh Nhĩ Thất Toàn Phần
- Điều trị ban đầu: Điều trị ban đầu cho kênh nhĩ thất toàn phần tương tự như điều trị thông liên thất, bao gồm:
- Sử dụng thuốc: Các loại thuốc như thuốc lợi tiểu, thuốc ức chế men chuyển và digoxin có thể được sử dụng để kiểm soát các triệu chứng của suy tim.
- Điều trị hỗ trợ:
- Hồi sức tăng cường suy tim: Trong trường hợp suy tim nặng, trẻ có thể cần được hồi sức tích cực.
- Hỗ trợ hô hấp: Nếu trẻ bị khó thở, có thể cần hỗ trợ hô hấp bằng oxy hoặc máy thở. Cần duy trì độ bão hòa oxy (SpO2) dưới 90% để tránh phù phổi.
- Phẫu thuật: Phẫu thuật là phương pháp điều trị chính cho kênh nhĩ thất toàn phần. Thời điểm phẫu thuật thường là từ 3 đến 6 tháng tuổi.
- Thắt động mạch phổi: Trong một số trường hợp, có thể cần thắt động mạch phổi nếu có nhiều lỗ thông liên thất không thể đóng hết trong quá trình phẫu thuật.
- Tỉ lệ tử vong: Tỉ lệ tử vong sau phẫu thuật là khoảng 5%.
- Biến chứng: Các biến chứng có thể xảy ra sau phẫu thuật bao gồm block nhĩ thất (rối loạn dẫn truyền điện trong tim) và hở van hai lá (van hai lá không đóng kín hoàn toàn).
Lưu ý quan trọng: Thông tin trên chỉ mang tính chất tham khảo. Việc chẩn đoán và điều trị kênh nhĩ thất toàn phần cần được thực hiện bởi các bác sĩ chuyên khoa tim mạch có kinh nghiệm.
Nguồn tham khảo:
- American Heart Association: https://www.heart.org/
- Medscape: https://emedicine.medscape.com/
- Bệnh viện Tim Hà Nội: https://www.benhvientim.vn/
📅
Cập nhật lần cuối
31 tháng 3, 2025