
1. Quy trình siêu âm tim
Siêu âm tim mạch là một kỹ thuật chẩn đoán hình ảnh không xâm lấn, sử dụng sóng siêu âm để tạo ra hình ảnh về cấu trúc và chức năng của tim. Quá trình này thường diễn ra trong khoảng thời gian tối đa là 45 phút.
Trong quá trình thực hiện, bệnh nhân sẽ được yêu cầu nằm nghiêng về một bên (thường là bên trái) để bác sĩ có thể tiếp cận tim một cách tốt nhất. Bác sĩ sẽ tiến hành bôi một lớp gel chuyên dụng lên vùng ngực của bệnh nhân. Gel này giúp tăng cường sự tiếp xúc giữa đầu dò siêu âm và da, từ đó cải thiện chất lượng hình ảnh thu được.
Tiếp theo, bác sĩ sẽ di chuyển đầu dò siêu âm trên ngực bệnh nhân để dò tìm tín hiệu. Đầu dò này được kết nối với máy siêu âm và màn hình hiển thị bằng dây cáp. Sóng siêu âm phát ra từ đầu dò sẽ hướng về tim, sau đó phản xạ lại và được thu nhận bởi đầu dò. Các tín hiệu phản xạ này sẽ được máy siêu âm xử lý và chuyển đổi thành hình ảnh hiển thị trên màn hình. Hình ảnh này sẽ được cập nhật liên tục, cho phép bác sĩ quan sát tim theo thời gian thực.
Siêu âm tim không gây nguy hiểm cho bệnh nhân vì đây là một kỹ thuật không xâm lấn và không sử dụng tia xạ. Quá trình này cũng không gây đau đớn và thường diễn ra nhanh chóng. Người bệnh không cần có sự chuẩn bị đặc biệt nào trước khi thực hiện siêu âm. Trước và sau khi siêu âm, bệnh nhân vẫn có thể ăn uống bình thường và tiếp tục sử dụng các loại thuốc mà họ đang dùng, trừ khi có chỉ định khác của bác sĩ.
1.1 Quan sát
Trong quá trình phân tích hình ảnh siêu âm tim, các bác sĩ cần tuân thủ một quy trình quan sát và mô tả chi tiết để đảm bảo tính chính xác và đầy đủ của thông tin. Theo khuyến cáo của các hiệp hội tim mạch lớn như Hiệp hội Tim mạch Hoa Kỳ (AHA) và Hiệp hội Tim mạch Châu Âu (ESC), những hình ảnh thu được cần được mô tả một cách đầy đủ và chi tiết để cho phép các bác sĩ siêu âm tim khác có thể hình dung được cấu trúc và chức năng của tim một cách chính xác.
Tất cả các bộ phận của tim, bao gồm các buồng tim (nhĩ phải, nhĩ trái, thất phải, thất trái), các van tim (van hai lá, van ba lá, van động mạch chủ, van động mạch phổi) và các mạch máu lớn (động mạch chủ, tĩnh mạch chủ, động mạch phổi), đều nên được mô tả một cách cẩn thận. Nếu một bộ phận nào đó không thể thấy được trên hình ảnh, điều này cần phải được ghi rõ trong báo cáo. Điều này giúp người đọc báo cáo tin tưởng rằng một nghiên cứu có hệ thống đã được thực hiện chứ không phải là một nghiên cứu chỉ tập trung vào một vùng giới hạn.
Trình tự mô tả nên hợp lý và có hệ thống, nhưng có thể khác nhau giữa các kỹ thuật viên siêu âm và tùy thuộc vào loại hình nghiên cứu. Các tính năng quan trọng nhất có thể được mô tả đầu tiên, hoặc từng khu vực giải phẫu có thể được thảo luận lần lượt theo một trình tự nhất định.
Giải thích sơ bộ có thể bao gồm các thông tin hỗ trợ để hiểu rõ hơn về tình trạng bệnh lý (ví dụ: bệnh van hai lá do thấp tim). Các mức độ hẹp hoặc hở van cần được mô tả chi tiết và sử dụng các quan sát mô tả để làm tài liệu.
Hiện tại, chưa có sự thống nhất hoàn toàn về việc báo cáo các bất thường nhỏ (ví dụ: vôi hóa nhẹ vòng van hai lá), các biến thể bình thường (ví dụ: mạng Chiari) hoặc các phát hiện bình thường (ví dụ: trào ngược van hai lá nhẹ). Tuy nhiên, các chuyên gia khuyến cáo nên mô tả chúng trong phần văn bản của báo cáo, nhưng có thể bỏ qua chúng khi đưa ra kết luận cuối cùng.
Hình ảnh siêu âm tim cung cấp thông tin quan trọng về cấu trúc và chức năng của tim.
Kết luận của báo cáo siêu âm tim cần tích hợp và tóm tắt các phép đo và mô tả quan sát để trả lời câu hỏi mà người yêu cầu siêu âm đã đặt ra. Nó cần xác định bất kỳ bất thường nào (ví dụ: trào ngược van hai lá), nguyên nhân của nó (ví dụ: sa van hai lá) và bất kỳ hiệu ứng thứ cấp nào (ví dụ: giãn nở thất trái và vận động thái quá). Kết luận cần phải dễ hiểu đối với một người không phải là chuyên gia về siêu âm tim và có thể cần phải được điều chỉnh để phù hợp với kiến thức và kỳ vọng của người yêu cầu, mặc dù kết quả siêu âm tim đa phần được phiên giải chính xác nhất bởi bác sĩ chuyên ngành tim mạch.
Tư vấn không nên được đưa ra một cách thường xuyên, nhưng cần đảm bảo rằng người không có nhận thức về chuyên ngành tim mạch hiểu được tầm quan trọng của kết quả và sự quan trọng của việc thông báo các phát hiện lâm sàng cho bác sĩ điều trị. Phần lớn các yêu cầu về lời khuyên lâm sàng từ các kết quả siêu âm tim cần được tích hợp với một đánh giá lâm sàng rộng lớn hơn, điều mà không phải lúc nào cũng có sẵn đối với người trực tiếp thực hiện siêu âm. Tuy nhiên, có thể cung cấp tư vấn quản lý hợp lý tiềm ẩn trong bản báo cáo, tùy thuộc vào câu hỏi được yêu cầu và trình độ của người thực hiện siêu âm.
2. Làm gì khi kết quả siêu âm tim bất thường
Kết quả siêu âm tim cần được tóm tắt một cách ngắn gọn và dễ hiểu đối với một người không thuộc chuyên ngành tim mạch, đồng thời phải phù hợp với kiến thức và kỳ vọng của người yêu cầu. Tuy nhiên, để phiên giải chính xác kết quả siêu âm tim, cần có kiến thức tối thiểu về tim mạch học và y học nói chung. Do đó, để đảm bảo sự chính xác trong chẩn đoán, việc kết quả siêu âm tim được đọc và phiên giải bởi một bác sĩ chuyên khoa tim mạch là cần thiết và quan trọng.
Khi nhận được kết quả siêu âm tim bất thường, điều quan trọng là phải thông báo ngay cho bác sĩ điều trị để có hướng xử trí tiếp theo phù hợp nhất. Bác sĩ sẽ xem xét kết quả siêu âm tim cùng với các thông tin lâm sàng khác (tiền sử bệnh, triệu chứng, kết quả khám sức khỏe, các xét nghiệm khác) để đưa ra chẩn đoán chính xác và lập kế hoạch điều trị phù hợp.
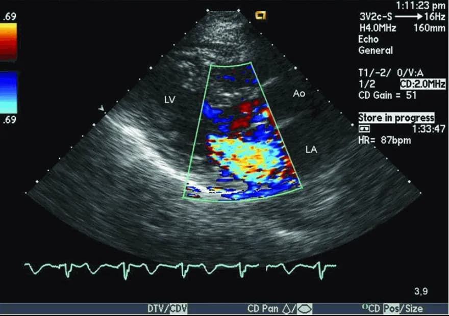
Siêu âm tim Doppler cho thấy hở van hai lá.
3. Vai trò siêu âm tim trong đánh giá suy tim
Siêu âm tim là một xét nghiệm rất hữu ích trong chẩn đoán suy tim. Theo hướng dẫn của Hiệp hội Tim mạch Hoa Kỳ (ACC) và Hiệp hội Tim mạch Châu Âu (ESC), siêu âm tim là một trong những công cụ chẩn đoán hình ảnh quan trọng nhất để đánh giá chức năng tim và xác định nguyên nhân gây suy tim.
Siêu âm tim giúp đánh giá cả hình thái và chức năng của tim, bao gồm:
- Kích thước tim: Siêu âm tim có thể đo kích thước của các buồng tim (nhĩ phải, nhĩ trái, thất phải, thất trái) để phát hiện tình trạng tim to hoặc phì đại.
- Chức năng tâm thu và tâm trương thất trái: Siêu âm tim có thể đánh giá khả năng co bóp (chức năng tâm thu) và khả năng giãn nở (chức năng tâm trương) của thất trái, là buồng tim chính bơm máu đi nuôi cơ thể.
- Rối loạn vận động vùng: Siêu âm tim có thể phát hiện các vùng cơ tim bị tổn thương hoặc thiếu máu cục bộ, dẫn đến rối loạn vận động (co bóp không đều hoặc không co bóp).
- Bệnh van tim: Siêu âm tim có thể đánh giá chức năng của các van tim (van hai lá, van ba lá, van động mạch chủ, van động mạch phổi) để phát hiện tình trạng hẹp hoặc hở van.
- Màng ngoài tim: Siêu âm tim có thể phát hiện các bệnh lý của màng ngoài tim, như tràn dịch màng ngoài tim hoặc viêm màng ngoài tim co thắt.
- Bệnh tim bẩm sinh: Siêu âm tim có thể giúp chẩn đoán một số bệnh tim bẩm sinh.
Một chỉ số quan trọng hiện nay cũng thường được xác định thông qua siêu âm tim là phân suất tống máu (EF). Phân suất tống máu là tỷ lệ phần trăm máu được bơm ra khỏi thất trái trong mỗi nhịp tim. Bình thường, chỉ số phân suất tống máu cho một trái tim khỏe mạnh là từ 55% đến 70%. Khi phân suất tống máu thấp hơn 55%, đây là dấu hiệu cảnh báo sự suy giảm chức năng của tim.
Thông qua siêu âm tim, bác sĩ có thể thu thập được rất nhiều thông tin hữu ích, có ý nghĩa quan trọng trong việc xác định nguyên nhân, mức độ của suy tim, cũng như lựa chọn và đưa ra một phương pháp điều trị thích hợp.
Ngoài việc đánh giá phân suất tống máu, siêu âm tim còn được sử dụng để đánh giá suy tim tâm trương, bao gồm:
- Xác định độ thư giãn thất trái: Độ thư giãn thất trái là khả năng giãn nở của thất trái trong giai đoạn tâm trương để nhận máu từ nhĩ trái thông qua van hai lá. Tim bình thường có tính đàn hồi tốt và sẵn sàng nhận máu trong giai đoạn đổ đầy thất trái. Khi độ thư giãn bị tổn thương, thất trái không thể tăng thể tích dễ dàng, điều này làm tăng tiền tải thất trái, gây tăng áp lực nhĩ trái, dẫn tới phù phổi cấp.
Siêu âm tim có vai trò quan trọng trong việc đánh giá các bệnh lý tim mạch.
Độ thư giãn thất trái được đánh giá tốt nhất bằng hình ảnh Doppler mô. Vận tốc đổ đầy đầu tâm trương của cơ thất trái được xác định là Ea. Bình thường, Ea lớn hơn hoặc bằng 10 cm/giây. Rối loạn thư giãn khi Ea nhỏ hơn 10 cm/giây.
Một dấu hiệu của tiền tải thất trái là vận tốc tối đa đổ đầy đầu tâm trương ngang van hai lá (E). Thông số này được xác định bằng vận tốc của dòng máu qua van hai lá. Áp lực đổ đầy thất trái có thể được đánh giá bằng tỷ lệ giữa vận tốc dòng máu qua van hai lá (E) và vận tốc của mô cơ tim trong thời kỳ đầu tâm trương (Ea). Tỷ lệ này cao (ví dụ: E/Ea ≥ 15) cho biết có tăng áp lực đổ đầy thất trái (áp lực nhĩ trái ≥ 15 mmHg), tỷ lệ thấp (ví dụ: E/Ea ≤ 10) cho biết áp lực đổ đầy thất trái bình thường (áp lực nhĩ trái < 15 mmHg).
Cập nhật lần cuối
31 tháng 3, 2025