
Siêu âm Doppler tim đánh giá hở van 2 lá
Siêu âm Doppler tim là phương pháp siêu âm tim đánh giá hở van hai lá với độ chính xác cao. Phương pháp này được sử dụng rất thường quy trên lâm sàng để chẩn đoán xác định và đánh giá mức độ hở van 2 lá. Theo Hiệp hội Tim mạch Hoa Kỳ (AHA), siêu âm tim là một công cụ không xâm lấn, quan trọng trong việc đánh giá cấu trúc và chức năng tim.
1. Tổng quan về bệnh hở van hai lá
Van hai lá: Van hai lá, còn gọi là van nhĩ thất trái, là van tim nằm giữa tâm nhĩ trái và tâm thất trái. Nó có vai trò quan trọng giúp đảm bảo máu chảy qua tim đúng lúc và đúng hướng. Sinh lý hoạt động bình thường của van hai lá như sau: khi van 2 lá mở, máu sẽ từ tâm nhĩ trái chảy xuống tâm thất trái. Sau khi tâm thất trái được bơm máu đầy, van hai lá sẽ đóng chặt lại để ngăn máu chảy ngược vào tâm nhĩ trái.
Hở van 2 lá: Hở van 2 lá là tình trạng van hai lá không đóng kín, làm máu chảy ngược trở lại tâm nhĩ trái. Có nhiều nguyên nhân gây hở van tim 2 lá, có thể do dị tật bẩm sinh xuất hiện trong thời kỳ mang thai hoặc là hậu quả của một số bệnh lý mắc phải như thấp khớp, viêm nội tâm mạc, tăng huyết áp, nhồi máu cơ tim,… Theo Medscape, hở van hai lá có thể được phân loại thành cấp tính hoặc mãn tính, với các nguyên nhân và phương pháp điều trị khác nhau.
Hở van 2 lá ở mức độ nhẹ thường không đáng lo ngại và không cần điều trị. Tuy nhiên, nếu hở van 2 lá mức độ nặng có thể gây nhiều biến chứng nguy hiểm như suy tim, rung nhĩ, tăng áp lực động mạch phổi,… Theo Cleveland Clinic, hở van hai lá nặng có thể dẫn đến các triệu chứng như khó thở, mệt mỏi và phù nề.
Có nhiều phương pháp được sử dụng để chẩn đoán và đánh giá hở van 2 lá như điện tâm đồ, chụp X-quang, siêu âm tim,… Trong đó, siêu âm tim Doppler là một trong những phương pháp được sử dụng phổ biến nhất, giúp xác định mức độ hở và sự ảnh hưởng đến chức năng tim. Điện tâm đồ giúp phát hiện các rối loạn nhịp tim có thể đi kèm với hở van hai lá, còn chụp X-quang tim phổi giúp đánh giá kích thước tim và tình trạng ứ huyết phổi.
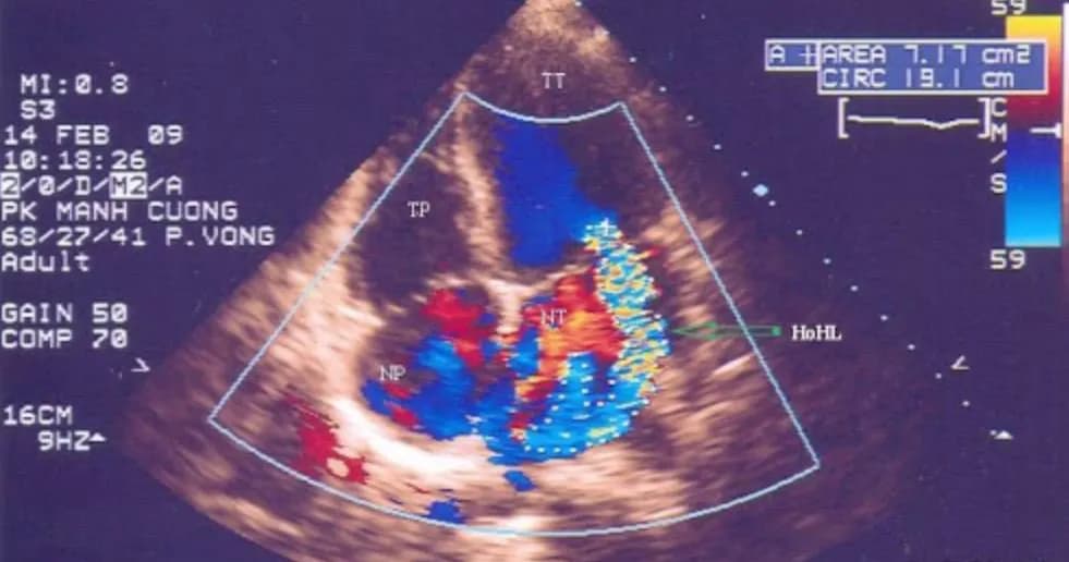
2. Siêu âm tim Doppler màu đánh giá hở van 2 lá
Siêu âm Doppler tim: Siêu âm Doppler tim là phương pháp thăm dò không xâm lấn có độ chính xác cao, hình ảnh siêu âm có màu dễ quan sát. Đây là kỹ thuật sử dụng sóng siêu âm có tần số cao (3-5 MHz) để thăm dò, quan sát chuyển động của tim, chức năng cơ tim và van tim, chẩn đoán và theo dõi hiệu quả điều trị các bệnh lý tim mạch. Theo ACC, siêu âm tim Doppler cung cấp thông tin quan trọng về vận tốc và hướng dòng máu, giúp đánh giá chức năng van tim.
Siêu âm Doppler tim được sử dụng thường quy trên lâm sàng để chẩn đoán xác định và đánh giá mức độ hở van 2 lá. Nhiều thông số trong siêu âm Doppler tim như diện tích dòng hở, độ rộng gốc dòng hở, chiều dài dòng hở, tỷ lệ diện tích dòng hở/diện tích nhĩ trái, diện tích lỗ hở hiệu dụng,… giúp đánh giá chính xác mức độ hở van tim.
2.1. Siêu âm Doppler màu
Siêu âm tim hở van 2 lá bằng phương pháp siêu âm Doppler màu được sử dụng rộng rãi để chẩn đoán xác định và đánh giá mức độ hở van lá. Hở van 2 lá trên siêu âm Doppler được chia làm 4 độ từ 1/4 đến 4/4. Hoặc cũng có thể đánh giá bằng các mức độ từ nhẹ (1+), vừa (2+), nhiều (3+) và rất nhiều (4+). Siêu âm Doppler màu giúp nhìn thấy được hình ảnh dòng màu phụt ngược về nhĩ trái. Dựa vào sự lan của dòng màu phụt ngược có thể ước tính độ hở của van 2 lá. Để đánh giá cụ thể hơn mức độ hở của van, có thể dựa vào các thông số như:
- Độ dài tối đa của dòng màu phụt ngược trong nhĩ trái.
- Tỷ lệ diện tích dòng hở so với diện tích nhĩ trái.
Phương pháp này chính xác đối với hở van hai lá kiểu trung tâm, tuy nhiên đối với những dòng hở lệch tâm lớn, hở van 2 lá cần được tính tăng thêm 1 độ. Khi sử dụng siêu âm tim đánh giá hở van hai lá, cần chú ý các yếu tố có thể ảnh hưởng đến độ chính xác như:
- Khi siêu âm qua thực quản để đánh giá hở van hai lá, nếu người bệnh dùng thuốc an thần, mức độ hở van hai lá sẽ giảm so với bình thường.
- Nếu đánh giá hở van hai lá trong cuộc mổ, độ hở van hai lá sẽ phụ thuộc vào tiền gánh và hậu gánh.
Một chỉ số đáng tin cậy giúp đánh giá mức độ hở van hai lá đó là độ rộng dòng hở khi qua lỗ hở (vena contracta). Tuy nhiên, phương pháp này đòi hỏi máy siêu âm Doppler phải có độ phân giải cao do phải phóng to lên.
Một chỉ số khác là diện tích lỗ hở hiệu dụng (ERO) tính theo phương pháp PISA dựa trên hiện tượng dòng chảy qua lỗ hẹp hình phễu. Hiện tượng PISA thường báo hiệu hở hai lá mức độ vừa nhất là khi sử dụng Doppler xung.
2.2. Siêu âm Doppler xung
- Siêu âm tim hở van 2 lá bằng Doppler xung (PW Doppler) có thể đánh giá mức độ hở van tim, nhất là trong những trường hợp hở van nặng. Nếu xảy ra hiện tượng đảo ngược phổ tâm thu dòng chảy tĩnh mạch phổi, điều đó chỉ ra hở van hai lá ở mức độ rất nặng. Nếu có hiện tượng giảm phổ tâm thu của dòng chảy tĩnh mạch phổi khi chức năng thất trái bình thường thì hở van hai lá ở mức độ nặng, tuy nhiên đánh giá sẽ không chính xác nếu bệnh nhân rung nhĩ hoặc đã rối loạn chức năng thất trái nặng.
Cập nhật lần cuối
31 tháng 3, 2025