
Siêu âm tim 3D trong đánh giá và can thiệp bệnh van tim
1. Tổng quan về siêu âm tim 3D
- Siêu âm tim: Là một kỹ thuật chẩn đoán hình ảnh không xâm lấn sử dụng sóng siêu âm để tạo ra hình ảnh về cấu trúc và chức năng của tim. Kỹ thuật này cho phép bác sĩ quan sát các buồng tim, thành tim, van tim và các mạch máu lớn liên quan. (Nguồn: https://www.heart.org/en/health-topics/heart-valve-problems-and-disease/understanding-your-heart-valves/echocardiogram)
- Siêu âm 2D: Đây là kỹ thuật siêu âm tim truyền thống, cung cấp các thông số kinh điển có giá trị trong chẩn đoán và điều trị bệnh tim mạch. Siêu âm 2D có thể được thực hiện qua thành ngực (siêu âm tim qua thành ngực) hoặc qua thực quản (siêu âm tim qua thực quản) để có hình ảnh rõ nét hơn.
- Siêu âm tim 3D: Với sự tiến bộ của công nghệ máy tính và đầu dò, siêu âm tim ba chiều (3D) đã ra đời, cung cấp thông tin lâm sàng bổ sung đáng kể so với siêu âm tim hai chiều (2D) truyền thống. (Nguồn: J Am Soc Echocardiogr. 2017;30(1):1-21)
- Ưu điểm của siêu âm tim 3D:
- Làm rõ giải phẫu tim phức tạp và huyết động học: Siêu âm tim 3D giúp bác sĩ hình dung rõ hơn cấu trúc tim và dòng máu chảy qua tim, đặc biệt hữu ích trong các trường hợp bệnh tim phức tạp.
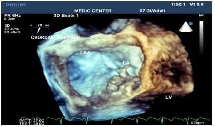
- Nhận dạng trực quan cấu trúc tim từ mọi hướng: Khác với siêu âm 2D chỉ cung cấp hình ảnh cắt lớp, siêu âm 3D cho phép quan sát tim từ nhiều góc độ khác nhau, giúp đánh giá toàn diện hơn.
- Cung cấp thông tin đầy đủ về thể tích và chức năng buồng tim: Siêu âm tim 3D cho phép đo chính xác thể tích các buồng tim và đánh giá chức năng co bóp của tim một cách khách quan. Phương pháp này ngày càng trở nên quan trọng trong việc theo dõi và điều trị các bệnh tim mạch.
2. Chỉ định của siêu âm tim 3D
- Đánh giá thành tim: Siêu âm tim 3D giúp đánh giá độ dày, khả năng vận động của thành tim, từ đó cung cấp thông tin quan trọng trong chẩn đoán bệnh lý thiếu máu cơ tim. (Nguồn: Eur Heart J Cardiovasc Imaging. 2015;16(7):725-35)
- Đánh giá chức năng tâm thu và tâm trương thất trái: Siêu âm tim 3D được sử dụng để đánh giá chức năng co bóp (tâm thu) và chức năng giãn nở (tâm trương) của thất trái. Điều này giúp chẩn đoán, lượng giá chức năng và đánh giá hiệu quả điều trị trong nhiều bệnh lý như phì đại thất trái, bệnh cơ tim, suy tim, viêm màng ngoài tim co thắt.
- Đánh giá thể tích thất phải: Do hình dạng phức tạp của thất phải, việc đánh giá thể tích thất phải bằng siêu âm 2D thường khó khăn và đòi hỏi các mô hình hình học phức tạp. Siêu âm 3D cung cấp hình ảnh trực quan và chính xác hơn, giúp đơn giản hóa quá trình đánh giá.
- Đánh giá cấu trúc và chức năng van tim:
- Phát hiện mảng sùi, huyết khối: Siêu âm tim 3D giúp phát hiện các mảng sùi (do nhiễm trùng), huyết khối (cục máu đông) bám trên van tim, đặc biệt là trên các van tim nhân tạo.
- Đánh giá bệnh lý van hai lá: Trong bệnh lý hở van hai lá, siêu âm tim 3D đóng vai trò quan trọng trong việc đánh giá mức độ hở, cơ chế hở và khả năng sửa van. Siêu âm 3D cũng được sử dụng để hỗ trợ sửa van hai lá qua da bằng thiết bị MitraClip.
- Đánh giá mạch máu lớn: Siêu âm tim 3D giúp đánh giá kích thước, chức năng và áp lực của các mạch máu lớn như động mạch chủ, động mạch phổi, tĩnh mạch chủ.
3. Ưu điểm của siêu âm tim 3D
- Định lượng thể tích buồng tim: Siêu âm tim 3D cho phép đo chính xác thể tích các buồng tim như thất trái, thất phải, nhĩ trái. Điều này rất quan trọng trong việc theo dõi tiến triển của bệnh tim và đánh giá hiệu quả điều trị.
- Hình ảnh cấu trúc 3D và chuyển động của tim: Siêu âm tim 3D cung cấp hình ảnh ba chiều về cấu trúc tim và chuyển động của các thành phần tim, đặc biệt là cấu trúc van tim. Điều này giúp bác sĩ hiểu rõ hơn về cơ chế bệnh sinh và lựa chọn phương pháp điều trị phù hợp.
- Hỗ trợ sửa van hai lá qua da (MitraClip): Siêu âm tim 3D đóng vai trò then chốt trong quá trình sửa van hai lá qua da bằng thiết bị MitraClip. Nó giúp bác sĩ đánh giá chính xác vị trí và mức độ hở van, hướng dẫn đặt MitraClip và đánh giá kết quả sau can thiệp. Siêu âm 3D khắc phục những hạn chế của siêu âm 2D trong việc đánh giá các thay đổi giải phẫu và hình thái trong và sau sửa van hai lá qua da.
- Ưu điểm khác:
- Thủ tục đơn giản, nhanh gọn: Siêu âm tim 3D là một thủ tục không xâm lấn, dễ thực hiện và không gây đau đớn cho người bệnh.
- Tư vấn nhiệt tình: Bệnh nhân được tư vấn kỹ lưỡng về quy trình siêu âm và kết quả.
- Cơ sở vật chất tốt: Các cơ sở y tế có trang bị máy siêu âm tim 3D hiện đại thường có cơ sở vật chất tốt, đảm bảo chất lượng dịch vụ.
- Đội ngũ y tế chuyên nghiệp: Đội ngũ bác sĩ và kỹ thuật viên có trình độ chuyên môn cao, giàu kinh nghiệm trong lĩnh vực siêu âm tim.
Lưu ý: Mặc dù siêu âm tim 3D mang lại nhiều lợi ích, nhưng kỹ thuật này đòi hỏi trang thiết bị hiện đại và trình độ chuyên môn cao của người thực hiện. Do đó, không phải cơ sở y tế nào cũng có thể cung cấp dịch vụ siêu âm tim 3D.
📅
Cập nhật lần cuối
31 tháng 3, 2025